こんにちは。藤沢の歯医者「おだがき歯科クリニック」の小田柿です。
今回は、当院の内覧会でも好評でしたバクテリアセルフチェッカー「mil-kin(見る菌)」のお話をしたいと思います。
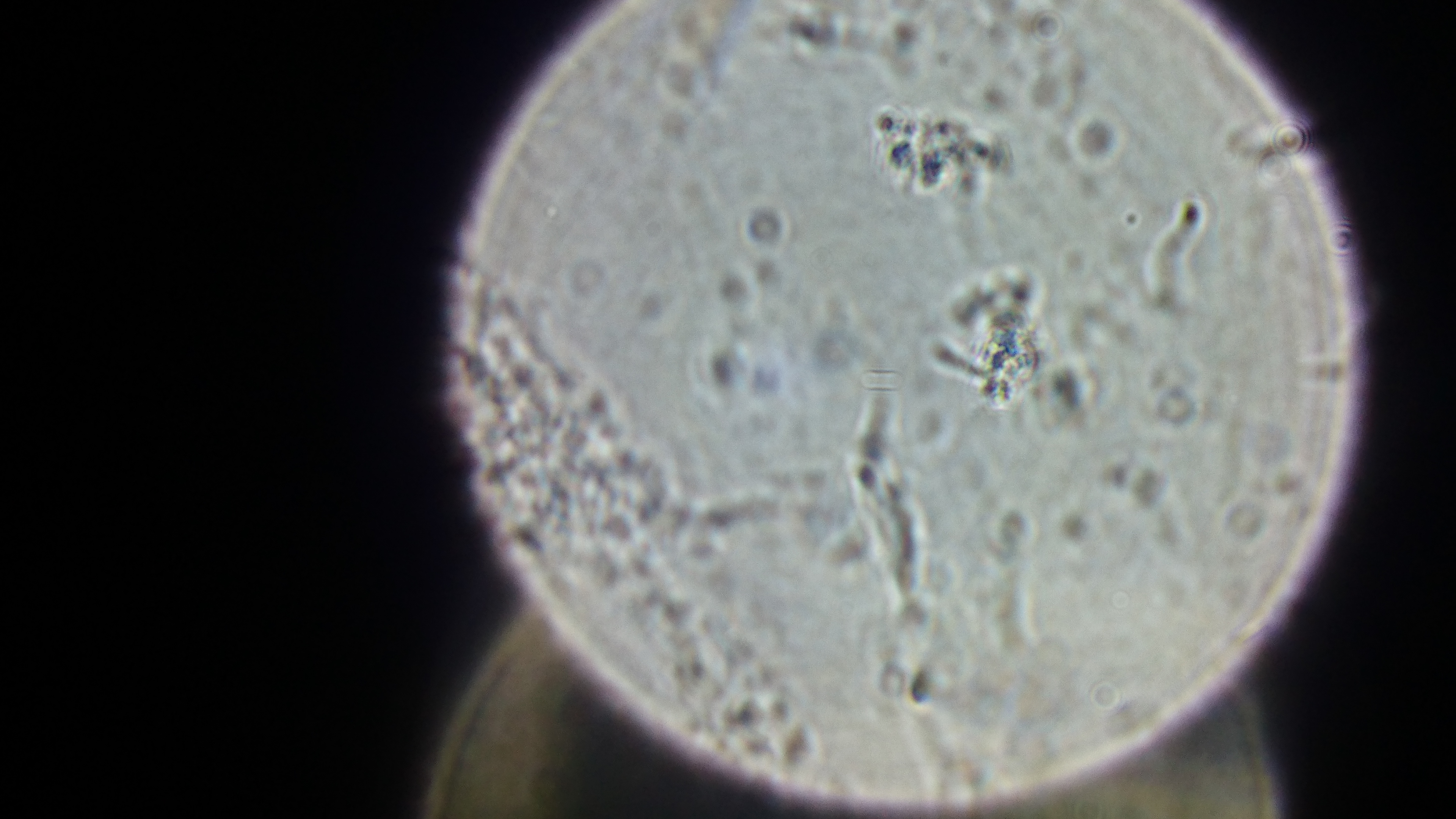
mil-kinは患者さんがお持ちのスマホを撮影モードにして唾液や歯垢(プラーク)を試料ステージに載せるだけでスマホ画面でお口の中の細菌を見ることが出来る顕微鏡です。
お口の中にはおよそ500~700種類の細菌が住んでいます。これらの細菌たちは普段あまり悪いことをしませんが、ブラッシングが充分でなかったり、砂糖を過剰に摂取すると細菌がネバネバした物質を作り出し、歯の表面にくっつきます。
これを歯垢(プラーク)と言い、粘着性が強くうがいをした程度では落ちません。
この歯垢(プラーク)1mgの中には10億個の細菌が住みついていると言われ、むし歯や歯周病をひき起こします。その中でも歯周病をひき起こす細菌が特異的に存在していることが解明されています。
歯垢(プラーク)は食後4~8時間程度で出来るため、定期的に歯医者さんに来てお掃除をするだけでは不十分。毎日のブラッシングがとても大事なのです。
でも、なかなかそうは言ってもヤル気は出てこないですよね。
当院では、来院された患者さんに、このmil-kinで、お口の中の細菌を直接見ていただいたり、歯垢(プラーク)を赤く染め出しをして汚れの付き具合を記録したチェックシートをお渡ししたりしたりなど、患者さんにご自身の口腔内がどのようになっているか理解していただくことで、そのヤル気を引き出すことが出来たらと思い、これらを治療に取り入れさせて頂いております。
患者さんのお口の健康の為に、少しでもお力になれたらと思い、mil-kinを始め様々な最新機材を導入していますので、予防歯科など、ご興味のある方は是非一度ご相談下さい。



